Horse landed badly from jump and became acutely lame.
Significant dental abnormalities found during a routine dental examination.
Horse was in an altercation with another horse in pasture.
Horse was initially seen for a mild colic.
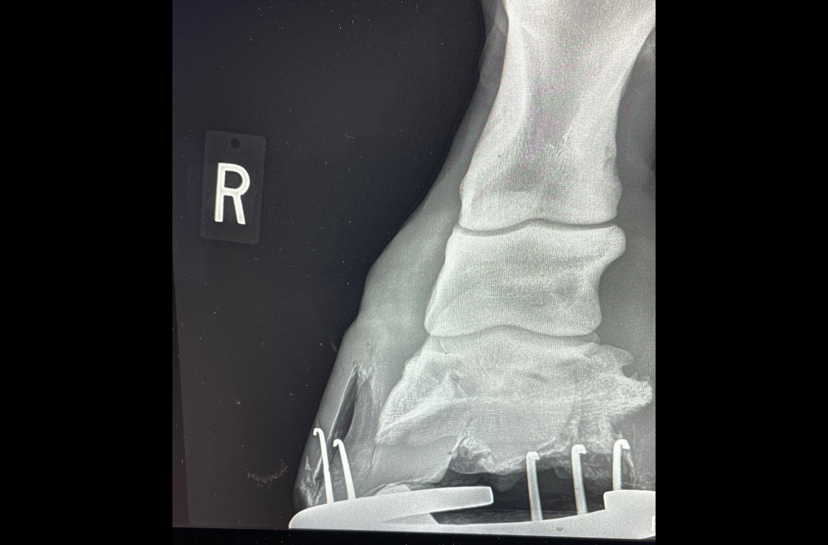
Horse came up acutely lame in pasture one day.